美容医療・整形の口コミ予約アプリ 今だけ3,500円分Pプレゼント!

型取りから丁寧に作る、ホームホワイトニング専用マウスピース & ホームホワイトニングジェル1本
8.9
オプション 1
ホームホワイトニング専用マウスピース & ホームホワイトニングジェル1本
ホワイトニング, ホワイトニング剤: オパールエッセンスミント, 1回
21% off
通常価格: ¥7,495
¥5,900
施術費用の 5-10% バック + 2,500P
施術費用の 5-10% バック + 2,500P
初オンライン予約ポイント
初予約のみ1,000P
オンライン予約&施術完了ポイント
初回は10%, 2回目以降5%5-10% バック
口コミ投稿ポイント
口コミのレシートが認証された場合500P
写真あり・経過なし500P
写真あり・経過あり1,500P
カンナムオンニ限定価格です
銀座7丁目 歯と美容のクリニック
東京都 新橋駅
8.962件の口コミ
8.962件の口コミ
unniTbJEsaLv.1
レシート認証
9
#ホワイトニング

前

後
• 施術前の悩み 歯が黄色いので白くしたいと思った。 • クリニックについて 着いてすぐに案内していただき、施術もすぐでした。 • 施術について 歯のクリーニングと歯石取りをしていただきさっぱりしました。型取りしていただき郵送いただくようにしたので、届くのを楽しみにして帰りました。 • 追加コメント ホームホワイトニングなので、自宅で頑張ってしようと思います。
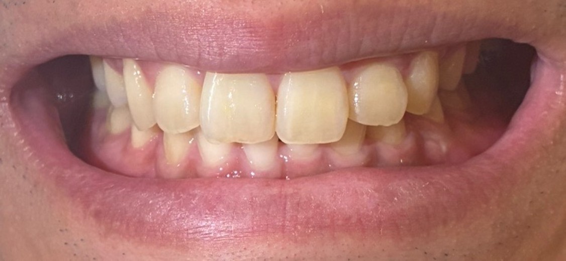
unni2GYgEwLv.1
レシート認証
8
#ホワイトニング

前

後

後

後
• 施術前の悩み ホワイトニングをホームケアに変えるためマウスピースを作成しに行きました • クリニックについて 事前に問診票を送付したので当日の待ち時間はほぼ無く、入店から退店まで30分ほどでした。 • 施術について とても大きな口を開けるので唇が保湿されていた方が良さそう • 追加コメント 出来上がったマウスピースは送料660円になっていました。
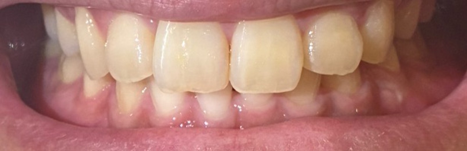
unniLfdLckLv.1
2025.10.25 (編集済み)
9
#ホワイトニング

前

後

後

後
• 施術前の悩み 物心ついた時から歯が黄色かった。 • クリニックについて 初めてで不安だったが、丁寧に説明してくださり安心した。 • 施術について 想像より歯が白くなり、驚きました。 • 追加コメント 一度受けるだけでも、驚くべき結果が得られます。
施術内容
銀座7丁目歯と美容のクリニックでは、以下のモニター様を募集しております。 ______________________ ◆利用条件 ・再来OK ・モニター限定(施術前後の歯面を撮影します) ・施術後のアンケート回答 ・18歳以上の成人のみ ◆ホームホワイトニング専用のマウスピース+ホームホワイトニングジェル1本 お家でできるホームホワイトニングに必要な、熟練スタッフが一から型を取ってつくる、あなた専用のマウスピースとホームホワイトニングジェル1本(オパールエッセンス10%)がセットになったメニューです。 ◆オパールエッセンス10%のミント・無香料のどちらか1本をお渡しいたします。 ・フレーバーにつきましては、ご希望のものが在庫切れでご希望に添えない場合もございます。ご理解の程をよろしくお願い致します。 ・他のホワイトニングジェルへの変更はできません。 ◆マウスピースのお引き取り マウスピースの型取り頂いた翌日から、4営業日以降にクリニックでお引き取り可能です。 お急ぎの場合は、オプションとして、当日引渡(3,300円)翌日引渡(2,200円)がございます。ご希望の場合にはスタッフへお問い合わせください。 また、配送をご希望の場合には、送料が別途必要となります。 ◆歯と美容のクリニックについて 私たちは、より多くの方に「美しい笑顔」を提供し、自信を持っていただくことを目指しております。 「少ない回数で効果を実感できる施術」「丁寧なカウンセリング」「痛みや不安の少ない治療」を常に心がけ、明朗会計で安心して施術を受けていただけます。 歯の健康や美しさに関することはもちろん、美容に関するご相談もお気軽にお申し付けください。 ーご予約の際の注意事項ー 過去に無断キャンセルをされた方に関しては、次回以降のご予約は受け付けませんので予めご了承ください。 【キャンセル/変更規定】 ◼︎〜2日前:無料 ◼︎前日:1,100円 ◼︎当日:3,300円 ◼︎無断キャンセル:4,500円 ※ご予約変更であっても、上記の手数料が発生いたします。 ◆完全キャッシュレスのクリニックです 各種クレジットカード、交通系、Paypay、QuickPay、IDなどの決済をご利用いただけます。 現金はご利用いただけません。 ◆モニター限定(症例写真を撮影します) こちらのホワイトニングメニューでは、マウスピースの症例写真を撮影し、ホームページやSNSなどに掲載する場合がございます。顔や、鼻など個人を特定できる部分はモザイク処理し、公開いたしませんのでご安心ください。 こちらのメニューでご予約いただいた時点で、ご同意いただいたものと見なします。ご確認の上、こちらのメニューをお申し込みください。
オプション情報
消費税込み
麻酔代含まない
アフターケア代含まない
この施術情報は参考事項であり、個々人の特性によって異なる場合がございます。
1
ホームホワイトニング専用マウスピース & ホームホワイトニングジェル1本
ホワイトニングホワイトニング剤: オパールエッセンスミント1回
21% off通常価格: ¥7,495
¥5,900
こんな方におすすめ
お家でホワイトニングをしたい方
しっかりご自身に合ったマウスピースを作りたい方
出張やご旅行などが多く、なかなかクリニックでホワイトニングができない方
施術の流れ:30分
- 1
施術説明
- 2
マウスピース型取り
- 3
終了
ダウンタイム0
施術を受けてから通常の生活に戻るまでの期間
注意事項・副作用
・仮歯をつけている場合は、治療が終わってからマウスピースをお作りください。 ・アルジネートにアレルギーがある方は、ご利用いただけません。 ・ご予約時の問診・同意書回答時、当院歯科医師による事前診察に伴い、お使いのスマートフォンなどで歯面状態の撮影が必要となります。
お悩みの部位
人気施術
ダーマペン
ハイフ(HIFU)
ヒアルロン酸
ボトックス
脂肪溶解注射
白玉注射
糸リフト
エラボトックス
ルメッカ
ピコトーニング
ピーリング
脱毛
フォトフェイシャル
ハイドラフェイシャル
脂肪吸引