
QR찍고 앱에서
더 자세히 보기
강언 앱에서 시술 결제하고 최대 1만 포인트 추가 적립 받아요!

원데이 미백
10.0
옵션 1
원데이 치아미백(1회 내원, 3회 진행)
40%
250,000원
150,000원
포인트 최대 20,000P 적립
포인트 최대 20,000P 적립
후기적립 포인트
일반 후기 작성 시3,000P
영수증 인증 시3,000P
경과 후기 작성 시10,000P
앱에서 결제 시 적립 포인트
시술 금액 100,000원 이상 결제 시10,000P
시술 금액 50,000원 이상 100,000원 미만 결제 시5,000P
시술 금액 50,000원 미만 결제 시3,000P
메가플란트치과의원
서울 홍제역
10.02개의 후기
10.02개의 후기
초사단Lv.1
영수증 인증
10
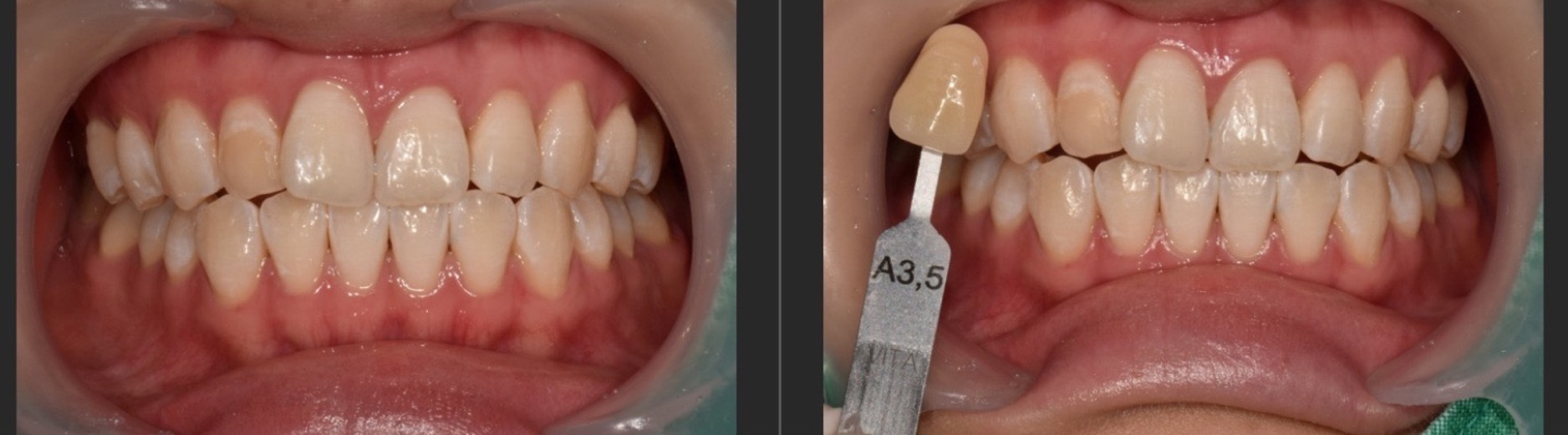
#치아미백

전

후

후

후
• 시술 전 고민 이가 노랗게 보이는게 스트레스라서 받았어요 • 상담 경험 선생님들 다 너무 친절하셨어요! 안내 데스크에 계신 분도 친절하셔서 치과병원이 무섭지 않았습니당 • 시술 결과 즉각적으로 밝아진 점이 젤 좋았네요. 이 시림은 시술 받을때는 전혀 없었고 이후에 앞니쪽이 살짝 시린정도..? 근데 다음날부터는 없어요 • 추가 의견 3회를 한번에 받아서 시간도 절약되고 너무 좋아요!
unniFgDNQELv.1
영수증 인증
10
#치아미백

전

후
• 시술 전 고민 치아의 누런 빛이 강해서 웃을 때마다 신경쓰였음 • 상담 경험 의사와 간호사분들이 모두 너무 친절하셨어요 ! • 시술 결과 약간의 시림이 있을 수 있다고 하셨는데 전혀 없었고, 너무 꼼꼼히 확인해가면서 진행해주셨어요 ! • 추가 의견 일회성 치료는 아닌 걸 알고 받았기에 엄청난 효과를 기대하진 않았지만 생각보가 너무 만족스러웠고 확실히 톤이 달라진 걸 느꼈어요 ! 6개월후에 다시 재방문하여 시술 받을 예정입니다 :)
옵션 정보
VAT포함
마취비포함
사후관리비없음
시술에 대한 정보는 참고 사항이며, 병원 방문 시 개인의 상태에 따라 달라질 수 있어요.
1
원데이 치아미백(1회 내원, 3회 진행)
40% 250,000원
150,000원
2
치아미백 3회 패키지(3회 내원, 6회 진행)
33% 450,000원
300,000원
부작용 안내
시술 후 일시적으로 치아시림이나 통증 등의 부작용이 발생할 수 있습니다.
상세 정보



고민 부위
인기 시술
인모드리프팅
인모드
콧볼축소
쌍꺼풀(절개)
쌍꺼풀(자연유착)
코끝(자가연골)
코성형
눈성형
윤곽주사
눈매교정
눈재수술
가슴(보형물)
사각턱수술
이마필러