
QR찍고 앱에서
더 자세히 보기
강언 앱에서 시술 결제하고 최대 1만 포인트 추가 적립 받아요!

라미네이트, 아티스필름 프리미엄
옵션 1
880,000원
660,000원
포인트 최대 10,000P 적립
아티스치과의원
10.022개의 후기
10.022개의 후기
찐닝Lv.6
#라미네이트


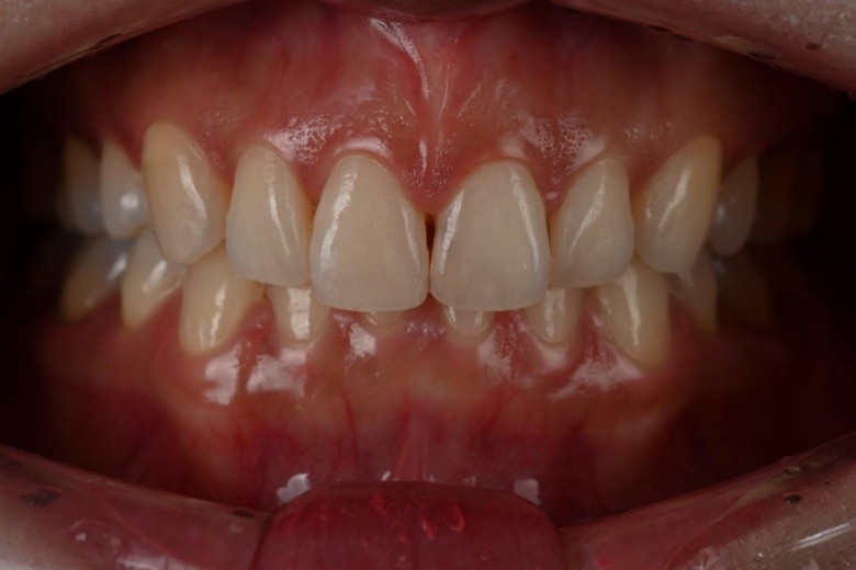
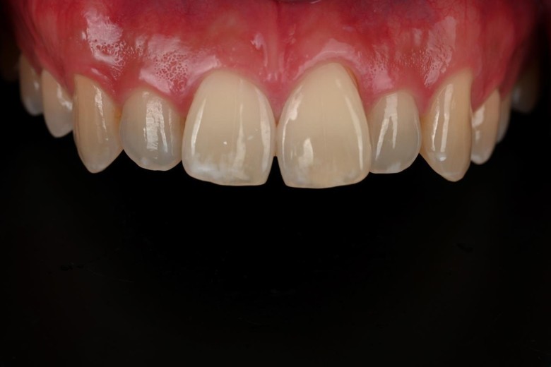
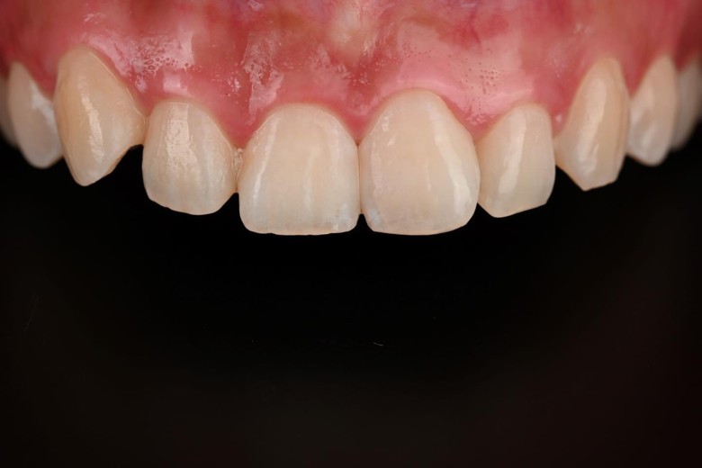
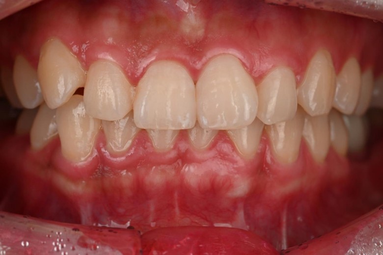
• 시술 전 고민 앞니 충치에 교정을 너무 어릴 적에 해서 치아가 다시 아래로 내려오고 누렁 황니가 제일 고민이었어오 ㅠㅠ • 상담 경험 직원분들이 우선 너무 친절하시고 치과는 무서워서 잘 안오게 되었는 데 원장님이 불편한 부분을 미리 경고 해주셔서 너무 좋았어요 그리고 가장 좋은 점은 지금 제 미소가 너무 이뻐졌다는 거..!! 새로탄생했어용💗💗 • 시술 결과 꼼꼼하게 케어 해주시고 잇몸성형 받아서 그 부분만 느낌이 이상하지 솔직히 불편한 부분이 없었어요 라미네이트 검색하면 부작용에 대한 사진도 많이 봐서 무서웠는 데 삭제를 최소한으로 해주시고 ! 걱정한 시간이 아까울 정도 !! • 추가 의견 라미네이트 충치치료 잇몸 성형 함께 받았는 데 비용적으로 성형비용이랑 비슷해서 고민 되었는 데 성형한거처럼 얼굴이 분위기나 느낌이 다릅니다 무엇보다 원장님이 제 얼굴 분위기나 스타일에 맞게 치아색상부터 모양까지 함께 고민해주시고 상담해주셔서 너무 좋았어요 앞으로 자신감있게 미소지을 준비 완료 ~ 라미고민이거나 특히 분위기가 달라지고 싶은 분들은 꼭 추천해요
수광입니다Lv.1
#라미네이트




• 시술 전 고민 결혼식이 얼마 남지 않아 빠른 시술이 필요한 상태였고, 평소에 치아에 대한 스트레스가 많았습니다(누렁니, 송곳니 등등) • 상담 경험 상담부터 시술까지 친절하게 해주셔서 너무 좋았어요! 제가 치과에 대한 공포증이 있는데 그런 부분 없도록 잘해주셨고 시술에 대한 부분을 이해하기 쉽게 설명주셔서 너무 좋았어요! • 시술 결과 단 2주만에 제가 그토록 원하던 하얗고 예쁜 치아를 가질 수 있게되었어요... 여태 받았던 스트레스를 한 번에 해결했고 무엇보다 빠른 시간내에 예쁜 치아를 가질 수 있어서 가장 좋았습니다! • 추가 의견 치아에 대한 컴플렉스가 있으시거나 시간이 없으신 분들에게 정말 추천드려요! 환하게 웃으실 수 있을거에요!
unniCI1j93Lv.1
#라미네이트




• 시술 전 고민 웃을 때마다 앞니가 너무 신경 쓰였어요 사진 찍을 때도 항상 살짝 입 다물고 웃거나 각도를 잡느라 몇 번씩 다시 찍고 치열이 막 심하게 틀어진 건 아닌데 미묘하게 비대칭이라 거울 볼 때마다 ‘이거 진짜 나만 보이나? 싶어서 매일 고민이였다가 이번에 인생네컷 찍고 보니 너무 잘보여서 더 큰 고민으로 바뀌었어요 ㅠㅠ • 상담 경험 솔직히 처음엔 치과 고르는 게 제일 어려웠는데 어디는 리뷰는 좋은데 너무 상업적이고, 어디는 친절하긴 한데 결과 사진이 별로고 그래서 일단 후기 + 실제 전후 사진을 제일 많이 봤는데 그중에서도 아티스는 자연스러움이 진짜 눈에 띄어서 ‘딱 티 나는 미소’가 아니라 원래 내 치아 같은 미소 그게 제가 원하는 느낌이라 선택했습니당 • 시술 결과 솔직히 말하면 예뻐지는건 둘째치고 자신감을 더 찾아준거같아 당당해진거같네요 ㅋㅋㅎ 자연스럽고 무엇보다 티 안 나는 자연스러움이 제일 좋았습니다 누가 봐도 뭐했구나 ! 가아니라 요즘 왜 이렇게 인상이 환해졌어? 이게 진까 기분 너무 좋아여 처음엔 시술 직후 살짝 어색했는데 10분만 지나니까 계속 거울보고 웃게되고 이젠 그냥 제 치아같네요 ㅎㅎ너무 만족! • 추가 의견 지금은 정말 만족합니다. 빛 받을 때 치아 라인이 자연스럽게 반짝이고, 웃을 때마다 기분이 좋아요. 주변에서도 “요즘 왜 이렇게 인상이 환해졌어?” 이런 말을 자주 해주셔서 뿌듯해요
옵션 정보
라미네이트, 아티스필름 프리미엄
부작용 안내
시술직후 잇몸이 붓거나 시릴 수 있습니다.
상세 정보






